Art & Patients

EDITO
Dans cette édition d’Art and Patients (qui prend la suite de Art in Saclay), nous réaffirmons notre conviction que l’art est un puissant pont entre l’expérience vécue et la compréhension collective de la maladie. Grâce à des collaborations originales et aux témoignages d’artistes-patients, chaque oeuvre dévoile un dialogue unique, à la fois intime et universel, entre la maladie, la résilience et la création. Ces oeuvres ne se contentent pas de nous émouvoir, elles témoignent. Elles nous rappellent que la guérison n’est pas seulement clinique, mais aussi émotionnelle, imaginative et profondément humaine, faisant écho aux valeurs de Servier : oser innover, se soucier profondément, grandir en partageant et s’engager à réussir ensemble.
Différentes œuvres se déploient cette année dans nos sites.

À la croisée de l’art et de la science, Beyond the Diagnosis est un projet qui humanise la médecine à travers le portrait. Présentant 16 portraits d’enfants atteints de maladie pédiatriques neurologiques rares qui bouleversent leur vie, ce collectif invite à regarder au-delà des symptômes et à voir les histoires, la dignité et l’individualité de chaque enfant. D’abord dévoilé à la faculté de médecine Alpert de l’université Brown, le projet a depuis été présenté dans des institutions telles que l’Institut National de la Santé américain, la faculté de médecine de Harvard et l’agence des produits alimentaires et médicaments (FDA). The Lancet, CBS Sunday Morning et le Boston Globe ont d’ores et déjà reconnu la force de ce projet qui sensibilise le public, favorise l’inclusion et transforme la manière dont le monde médical aborde l’expérience humaine de la maladie.

Tyrece (24×34)
Arterial Tortuosity
Syndrome

Madeline (27×24)
BLOC1S1 Hypomyelinating
Leukodystrophy

Talynn (25×25)
Bohring-Opitz Syndrome

Case (36×24)
Hunter Syndrome

Allie (20×20)
Paternal Uniparental
Isodisomy Chromosome 4

Ava (20×30)
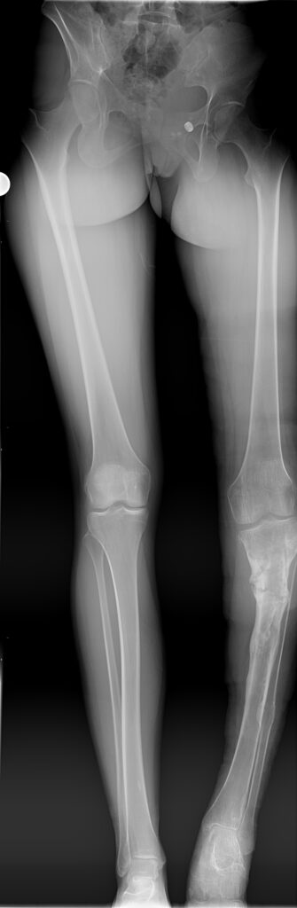
Achondroplasia Dwarfism

Betsi (16×20)
Morquio Syndrome

Leo (18×24)
Infantile Neuroaxonal
Dystrophymi

Kalen & Kyan (24×18)
Spinal Muscular Atrophy

Maximus (18×24)
SCN8A Epilepsy-Genetic
Mutation

Asia (32×26)
2q23.1 Microdeletion

Milaniya (16×21)
Alagille Syndrome

Owen (26×18)
Beckwith-Wiedemann
Syndrome

Raghav (16×20)
Sedaghatian Type
Spondylometaphyseal

Khai (16×16)
Cavernous Malformation

Andrea Ruano est une artiste multimédia, survivante du cancer et militante, dont le travail donne voix à la résilience. Diagnostiquée d’un sarcome d’Ewing à l’âge de 15 ans, elle a dû faire face à un parcours thérapeutique long et complexe, qui l’a notamment conduite à perdre un membre. Grâce à l’art, elle a transformé son traumatisme en force créatrice, offrant une perspective puissante sur la survie, l’identité et le renouveau. Sa pratique mêle récit personnel et militantisme, remettant en question les perceptions de la maladie et du handicap tout en promouvant les droits des survivants et survivantes du cancer. Honnête, audacieuse et profondément émouvante, l’oeuvre d’Andrea nous invite à voir la beauté non pas malgré l’adversité, mais à travers elle.




Remerciements
Nos chaleureux remerciements à toutes les personnes qui ont rendu ce projet possible, en particulier aux patientes et patients qui ont si généreusement partagé leur temps, leurs histoires et leur confiance. Ce travail reflète leur courage, leur créativité et le lien profond qui existe entre l’art et les soins. Il continue d’inspirer l’engagement de Servier à placer les personnes vivant avec la maladie au centre de toutes nos activités.